Vært så nervøs de to siste dagene pga brun utflod og lette kramper. Jordmor fant ingen synlig årsak, og konkluderte med at det mest sannsynlig kom av at morkaken tok over for plommesekken.
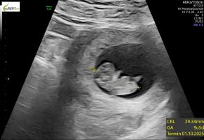
9+0, 178 bpm og 2,3cm lang. Perfekt liten miniatyrbaby som danset for oss på skjermen!
9+0, 178 bpm og 2,3cm lang. Perfekt liten miniatyrbaby som danset for oss på skjermen!



Ååh så herlig med 3D! Perfekt mini menneske 


