Isab
01.2016 ♥️ 01.2024 ♥️
Tilgangsansvarlig
Stjerneskuddene 2024
Søvnløs i september 2025
Pumpkin Bumps 2025
Innvendig. Best å se så tidlig med innvendig ulSå godt å se <3 Er det utvendig ultralyd?![]()

Follow along with the video below to see how to install our site as a web app on your home screen.
Notat: this_feature_currently_requires_accessing_site_using_safari
Innvendig. Best å se så tidlig med innvendig ulSå godt å se <3 Er det utvendig ultralyd?![]()

EnigInnvendig. Best å se så tidlig med innvendig ul![]()
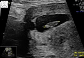
Lille vennEt lite blinkende hjerte med god hjertelydEr i uke 7, så mellom 7+4 og 7+5 er riktig enda. Hun målte lille til 1 cm, men hun gjorde det så fort, så ikke sikkert det stemmer.
Vis vedlegget 454915

Er ikke beste apparatet hun legen harEnigTok det selv forrige uke, men ble så usikker på måten ultralydbildet så ut
Derfor jeg måtte spørre
![]()
Ei jordmor her jeg bor som skal starte egen klinikk og sporte meg om jeg ville være "prøvekanin" på det nye topp moderne apparatet hennes
Gleder meg skikkelig 
Så rart, vi har termin samme dag og jeg er 7+1. Min var 11 millimeter. Kanskje din er større? (Synes dette var interessant) Gratulerer så masse uansett <3Alt perfekt![]()
Målte tilsvarende 7+5, som er en dag lenger enn vi var (7+4)
12,7 millimeter her, og dette er IVF-baby, så vi vet på timen hvor gammel den erSå rart, vi har termin samme dag og jeg er 7+1. Min var 11 millimeter. Kanskje din er større? (Synes dette var interessant) Gratulerer så masse uansett <3


Så spennende! Fikk litt wow følelse av hvor presist det kan være. Veldig gøy også!12,7 millimeter her, og dette er IVF-baby, så vi vet på timen hvor gammel den er![]()
Her var lille økt fra 4 mm forrige tirsdag til 11 mm i dag12,7 millimeter her, og dette er IVF-baby, så vi vet på timen hvor gammel den er![]()
Så nydelig! Tenkte på deg når vi satt på de grønne stolene og ventetHer var lille økt fra 4 mm forrige tirsdag til 11 mm i dagJeg er 7+2 i dag og det stemte helt med IVF-datoen og målingen
![]()

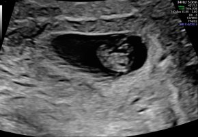
Er 6+6 i dag, men fosteret var 0,5 mm så det svarer til 6+1 ca. Så vi får håpe at det er bra! Såg to sekker, men bare ett foster. I alle fall ett godt tegn med bankende hjerte, så får vi ta det deretter!Sååå fin! Ser ut som en bitteliten baby joVar på ny UL i dag
er 8+3 men han målte til 8+5/6! Men det får jeg ikke til å stemme! Alt såg helt perfekt ut! Den bevegde seg tilogmed169 i puls
Vis vedlegget 455324

Ååå fy søren så koselig! Mini mini baby!Var på ny UL i dag
er 8+3 men han målte til 8+5/6! Men det får jeg ikke til å stemme! Alt såg helt perfekt ut! Den bevegde seg tilogmed169 i puls
Vis vedlegget 455324
JaaÅåå fy søren så koselig! Mini mini baby!
