Jeg håper dere tåler litt mer oppdatering fremover

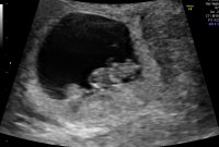
I går var jeg på UL på sykehuset, og snakket litt om hvilken oppfølgning jeg får via dem. UL i går viste lille bamsemumsen som beveget seg og målte til 8+5, som jeg var i forhold til menstermin også

så det er positivt!
neste UL på sykehuset blir i uke 13, altså om 4 uker, og da får jeg også NIPT. Skulle det være indikasjoner på noe via UL, så blir det enten morkakeprøve eller fostervannsprøve, men glad jeg får NIPT!
Veldig glad jeg er gravid igjen, når jeg nå går inn i en tid hvor jeg skulle vært like sprekkferdig som dere, og gledet meg over at permisjonen skulle starte til helgen. Og at det er rundt 3 uker til termin.. men enn så lenge ser det veldig bra ut på alle de 3 ultralydene jeg har vært på, og nå er det godt over 90% sjanse for at det går bra denne gangen!