Nei, skrev litt om det inne på skjultVar dette ordinær tidlig ultralyd?

Follow along with the video below to see how to install our site as a web app on your home screen.
Notat: this_feature_currently_requires_accessing_site_using_safari
Nei, skrev litt om det inne på skjultVar dette ordinær tidlig ultralyd?

Hei! Husker du om gynekologen fant ingenting på innvendig eller om hun så fostersekk? Var på ultralyd 7+1 og fant bare tom fostersekk. Skal på ny sjekk på mandag 8+5. Regner med jeg får bekreftet at det er BO/MA, men håper jo selvsagt på et mirakel..så godt å dra på ul og se at alt står bra tilHun tok først innvendig ul, men fant ingenting. Hun prøvde utenpå magen og fant den med en gang, helt oppe med navlen
Hun sa d kunne hende livmoren min var innovervendt eller oppovervendt husker ikke helt
Det viktigste er at alt sto bra til. Målt en dag lengre fram, men siden dette er ivf så kan ikke dato endres etter størrelse
Nå kan denne overnervøse mammaen roe seg litt ned igjen
Vis vedlegget 438550
Hei. Det lå bare høyt oppe hos meg. Om JM kun har sett fostersekk hos deg nå så er det godt mulig det er BO. Jeg har hatt BO selv, i fjor. Fant det ut i uke 6 og fikk ul fram til uke 9, men det dukket aldri opp noe foster hos megHei! Husker du om gynekologen fant ingenting på innvendig eller om hun så fostersekk? Var på ultralyd 7+1 og fant bare tom fostersekk. Skal på ny sjekk på mandag 8+5. Regner med jeg får bekreftet at det er BO/MA, men håper jo selvsagt på et mirakel..
kun tom fosterhule!Tusen takk for svar! Ja, er rimelig sikker på at det er tomt inni der og har begynt å spise brødskive med salami og brie hver dag bare på trass Men jo lengre jeg har venta på ny ultralyd, jo verre blir det. Vet at man kan ha gravidsymptomer lenge, men det er vanskelig å akseptere sterke symptomer og samtidig tenke at det ikke er noe. Blir godt med en endelig avklaring i morraHei. Det lå bare høyt oppe hos meg. Om JM kun har sett fostersekk hos deg nå så er det godt mulig det er BO. Jeg har hatt BO selv, i fjor. Fant det ut i uke 6 og fikk ul fram til uke 9, men det dukket aldri opp noe foster hos megkun tom fosterhule!
Tenker på deg og det du går gjennom. Håper det ordner seg for degTusen takk for svar! Ja, er rimelig sikker på at det er tomt inni der og har begynt å spise brødskive med salami og brie hver dag bare på trass Men jo lengre jeg har venta på ny ultralyd, jo verre blir det. Vet at man kan ha gravidsymptomer lenge, men det er vanskelig å akseptere sterke symptomer og samtidig tenke at det ikke er noe. Blir godt med en endelig avklaring i morra

Tusen takkTenker på deg og det du går gjennom. Håper det ordner seg for deg![]()

Det er vondt å gå slikTusen takk for svar! Ja, er rimelig sikker på at det er tomt inni der og har begynt å spise brødskive med salami og brie hver dag bare på trass Men jo lengre jeg har venta på ny ultralyd, jo verre blir det. Vet at man kan ha gravidsymptomer lenge, men det er vanskelig å akseptere sterke symptomer og samtidig tenke at det ikke er noe. Blir godt med en endelig avklaring i morra
En har jo alltid et lite håp uansett. Hos meg steg hcg og symptomene var der hele tiden. Håper på et mirakel hos deg
Jente!UL på lørdag, ble satt frem til 12+0. Noen som tør å tippe kjønn?![]()
På den ene ser det ut som jente, å på den angre guttUL på lørdag, ble satt frem til 12+0. Noen som tør å tippe kjønn?![]()
Men jeg har ingen peiling! Vet du hva det er?Nei, vet ikke! Skal på tidlig ul neste tirsdag. spent på om de kan si noe daPå den ene ser det ut som jente, å på den angre guttMen jeg har ingen peiling! Vet du hva det er?

Så godt å høre at alt står bra til. Skummelt å blø. Er det vanligere med hematom etter ivf? Håper det forsvinner raskt!Ble ekstra ultralyd i dag pga brun utflod , styrt på lørdag rett igjen klær og alt , litt brunt i formiddag igjen så fikk bestilt privat ul , er 10+0, lille ble målt helt perfekt og fikk både se og høre hjertelyd.. hematomet hausken såg i uke 7 ved sist blødning er ikke borte. Men hjerte slo og alt sto bra til,hun jeg var hos sa at enten absorberes resten av hemstomet eller så vil det blø ut.. uansett like skummelt .. men godt få sjekka.. blødd en del frisk etter hun holdt på trykke på magen men dobbel sjekka med doppleren min nå i kveld og hjerte slår det.. en får bare litt heta.. håper dette er siste rest som blør ut..vi såg begge at det var mer .. ny privat ul på torsdag ..fikk både filmer og bilder .. veldig fornøyd . Kan anbefales var i Stavanger på meretes ultralyd hun stilte opp etter arbeidstid
Vis vedlegget 439593
Tja vet ikke . Men jeg hadde det med første også. Fikk time på sykehuset i morgen. Fastlegen henviste i går. Så blir ul i morgen istedenfor torsdag. Godt å få god oppfølging. For kjempe skummelt..Så godt å høre at alt står bra til. Skummelt å blø. Er det vanligere med hematom etter ivf? Håper det forsvinner raskt!
Veldig bra med så tett oppfølging! Heier på deg og lille i magenTja vet ikke . Men jeg hadde det med første også. Fikk time på sykehuset i morgen. Fastlegen henviste i går. Så blir ul i morgen istedenfor torsdag. Godt p få god oppfølging. For kjempe skummelt..
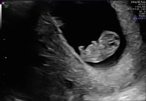
Så kjekt. Det fikk jeg også , herlig med film hvor armer og bein viser osv..9+3 idag, ble målt et par dager bak men ikke noe å bekymre seg over. Herlig å se mini armer og bein! Fikk video også, veldig gøy
Vis vedlegget 439629
Åh så bra!! Det et flott når helsevesenet fungerer ja. Veldig glad for at de tar deg på alvor og følger godt opp@Statistikern
Netopp vært på ultralyd og oppfølging på sykehuset , blir tettere oppfølging nå og jeg kan bare ringe og kome om det er noe.ikke tegn til noe mer blødning nå , sannsynligvis har det blødd ut men alikevel var de ikke helt sikker..men såg bra ut. Lille sprella og hjerte slo. Alt bare fint. Har litt veske i buken og cyster etter ivf stimulering som de også vil følge ekstra opp.. veldig flink og hyggelig lege . Og veldig gla alt sto så bra til.og at helsevesenet funker så blir ekstra ultralyder dær også.