Krysser fingrene for at det vokser akkurat som det skal7+0 utifra mens, fosteret var rundt 7mm, så mellom 6+5 og 7+0 ble jeg målt til. Satser på at baby har blitt litt større i morgen![]()
Follow along with the video below to see how to install our site as a web app on your home screen.
Notat: this_feature_currently_requires_accessing_site_using_safari
Krysser fingrene for at det vokser akkurat som det skal7+0 utifra mens, fosteret var rundt 7mm, så mellom 6+5 og 7+0 ble jeg målt til. Satser på at baby har blitt litt større i morgen![]()
Ifølge den lenken om hvor stor sannsynligheten er for at det går bra, tipper jeg 90% samme dag som TUL. Nå er jeg over 40 og har noe høy BMI, som ikke hjelper selvfølgelig. Men det stemmer jo med de 5-10 % i artikkelen.Kan det være fullgått uke 8 som da er ganske trygt? Eller kanskje det ikke var plommesekken som var avgjørende?
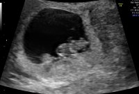
Måtte google, og på nhi sin side om uke 7 står dette: Vis vedlegget 365900
Så uansett, nærmer vi oss en tryggere uke!
Bamsemums på 15mm i dag7+0 utifra mens, fosteret var rundt 7mm, så mellom 6+5 og 7+0 ble jeg målt til. Satser på at baby har blitt litt større i morgen![]()
Hurra! Hvor mange uker ble du estimert til? Stemte det overens med det du tidligere har beregnet?Bamsemums på 15mm i dag![]()
Utifra målingene med 15mm så ble jeg målt til 8+0, er 7+6 i dagHurra! Hvor mange uker ble du estimert til? Stemte det overens med det du tidligere har beregnet?
Vi har store planer om å bli friskeGod søndag!
Hvilke planer har dere i dag? Her skal vi slappe av hjemme før vi drar i middagsbesøk til svigers.
guttungen var hjemme fra barnehagen fra onsdag og smittet meg på torsdag/fredag, og nå håper jeg at det ikke går utover morgendagens UL-time på SUS. Tok koronatest i går men ikke fått svar enda, og formen er mye bedre. Bare litt snue og hoste igjen 
Ååh, jeg krysser fingrene for deg! Det har vært mye forkjølelse for tiden, så tror det er mange virus som er i omløp. Håper ikke du må utsette timen din!Vi har store planer om å bli friskeguttungen var hjemme fra barnehagen fra onsdag og smittet meg på torsdag/fredag, og nå håper jeg at det ikke går utover morgendagens UL-time på SUS. Tok koronatest i går men ikke fått svar enda, og formen er mye bedre. Bare litt snue og hoste igjen
![]()
I dag skal jeg nok ompotte noen planter, og grave ned noen stauder jeg kjøpte for 1 uke siden.. alt for sent, som vanlig.. kanskje sette noen løker jeg har kjøpt åGod søndag!
Hvilke planer har dere i dag? Her skal vi slappe av hjemme før vi drar i middagsbesøk til svigers.

Takk for påminnelsen! Har avleggere stående i glass over hele kjøkkenbenken, og de skulle vært i jord for flere uker sidenI dag skal jeg nok ompotte noen planter, og grave ned noen stauder jeg kjøpte for 1 uke siden.. alt for sent, som vanlig.. kanskje sette noen løker jeg har kjøpt åklarer jeg dette så blir jeg imponert over meg selv, for jeg glemmer alltid å plante de
![]()

Ja, det var liksom detÅåh, jeg krysser fingrene for deg! Det har vært mye forkjølelse for tiden, så tror det er mange virus som er i omløp. Håper ikke du må utsette timen din!
Blitt litt forkjølet jeg og, så i dag må jeg vurdere om jeg skal dra på jobb i morgen. Føler at jeg har lett feber, men termometeret viser at jeg er helt frisk. Ville jo vanligvis dradd på jobb hvis jeg var litt pjusk, men med litt tett og rennende nese, feberfølelse og groggy stemme er det ikke helt innafor i disse tider.Ja, det var liksom deter ikke mer enn én måned siden sist runde på meg, akkurat rundt da jeg fant ut jeg var gravid
![]()
Jeg endte opp på jobb på fredag, selv med dårlig søvn og følelse av at jeg kanskje kom til å bli syk. Men det var fordi jeg var for frisk til å være sykBlitt litt forkjølet jeg og, så i dag må jeg vurdere om jeg skal dra på jobb i morgen. Føler at jeg har lett feber, men termometeret viser at jeg er helt frisk. Ville jo vanligvis dradd på jobb hvis jeg var litt pjusk, men med litt tett og rennende nese, feberfølelse og groggy stemme er det ikke helt innafor i disse tider.
Om jeg blir hjemme i morgen, kan jeg få ryddet i klesskapet. Jeg bruker sikkert kun 1/3 av klærne mine, og magen har virkelig est ut de siste ukene, så det er enda færre klær som kan brukes nå. Føler det er litt risky å ta vekk klær som kan passe hvis jeg ender opp med å miste, men sesongklærne skal iallefall vekk!Jeg endte opp på jobb på fredag, selv med dårlig søvn og følelse av at jeg kanskje kom til å bli syk. Men det var fordi jeg var for frisk til å være sykmen ser jo i etterkant at jeg burde vært hjemme. Men håper på rask bedring for oss begge to
![]()
Så gøy at du også har grønne fingre! Elsker planter, og når de trives!! Derfor er det litt trost når tiden noen ganger løper fra meg og de rekker å tørke før jeg får de i ny jordTakk for påminnelsen! Har avleggere stående i glass over hele kjøkkenbenken, og de skulle vært i jord for flere uker siden![]()
Fikk faktisk plantet ned alt, ompottet masse, vært på plantasjen og kjøpt en ny som jeg kan ta stiklinger fra 
Varierer hvordan tilbudet er, men er vel anbefalt mellom uke 6-12. Jeg fikk time hos jordmor 7+4 (menstermin).Hvilken uke skal dere til Lege/JM (første kontroll)? Er lang ventetid på ikle haste timer, så tenkte å bestille, men er det uke 8 ca?
Blir nok noe sånt på meg å, 7+3Varierer hvordan tilbudet er, men er vel anbefalt mellom uke 6-12. Jeg fikk time hos jordmor 7+4 (menstermin).
Herregud, helt glemt sånne ting!!
og jeg kjenner til og med noen som jobber der.. typisk..Du trenger ikke å gå til JM du kjenner, hvis de har flere jordmødre derBlir nok noe sånt på meg å, 7+3kan man høre hjertelyd da?
Herregud, helt glemt sånne ting!!
har lyst til å gå til JM annenhver gang, men vil ikke møte på noen jeg kjennerog jeg kjenner til og med noen som jobber der.. typisk..