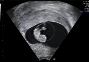
Første tidlige ultralyd 8+5
Her er bamsemumset vårt, med bankende hjerte
For en følelse! For en glede! Lille venn har navlesnoren i morkaken nå så den mest kritiske fasen var over sa jordmor. Alt så helt supert ut
Hun målte lille til 2,13 cm og nøyaktig 8+5 i dag, som er nøyaktig samme dagen jeg har
Nå feirer jeg og lille venn for oss selv med å putte i oss noe godt på restaurant 



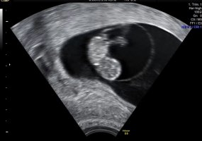
Her er bamsemumset vårt, med bankende hjerte
For en følelse! For en glede! Lille venn har navlesnoren i morkaken nå så den mest kritiske fasen var over sa jordmor. Alt så helt supert ut
Hun målte lille til 2,13 cm og nøyaktig 8+5 i dag, som er nøyaktig samme dagen jeg har
Nå feirer jeg og lille venn for oss selv med å putte i oss noe godt på restaurant 





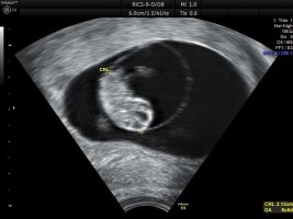
Så liten og perfekt liten perle
gratulerer så mye perle mor, så glad på dine vegne
Er i lykkeboble nå 
Det var jo det kritiske punktet du kom over nå jeg ikke klarte sist, så kommer til å være et nervevrak fra 8+4 som er da utviklingen stoppet opp for meg. Blir jeg gravid denne måneden her er det 5. November (!!) det er snakk om haha. 100% sikkert at jeg booker privat UL 6. november ass. Skal nok gå til slutt regner jeg med 
Og ja, jeg valgte jo ut i fra tips her inne midt i uke 9 slik at jeg skulle få se om det gikk bra i den overgangen til morkaka. Herlighet, blir en tøff tid for nervene hos deg etter det du var igjennom sist ja