natteravnen
Flørter med forumet
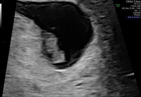
Er det noen som har vært på ultralyd rundt uke 7+6? Jeg har bestilt time til da og er så spent på hva vi får se! Gjerne sleng med bilde om dere har 
Follow along with the video below to see how to install our site as a web app on your home screen.
Notat: this_feature_currently_requires_accessing_site_using_safari
Skikkelig fint bildeVis vedlegget 382557
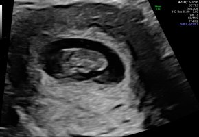
Dette var vel 7+5, hode, rumpe, arm og fot ses her. Ikke mye en se så tidlig, men vi var for å se etter hjerteslag og det fikk vi se.
Lykke til![]()