8+4 egentlig, men har blitt målt en dag lengre på begge ultralydene jeg har tatt nå, så er sikkert egentlig 8+5Så herligHvor langt er du på vei nå?

Follow along with the video below to see how to install our site as a web app on your home screen.
Notat: this_feature_currently_requires_accessing_site_using_safari
8+4 egentlig, men har blitt målt en dag lengre på begge ultralydene jeg har tatt nå, så er sikkert egentlig 8+5Så herligHvor langt er du på vei nå?

Jeg har første tur til fastlegen når jeg er 11+3 (som da sikkert egentlig er 11+4), og hun har UL apparat. Etter det tenker jeg at det er trygt å fortelle det i uke 12Så kjekt å høre! Nå ble jeg gladBlir det ny ultralyd før dere forteller til andre?
Men må jo reise en runde rundt i Norge for å fortelle det til folk siden vi har nærmeste familie så utrolig spredd rundt. Hadde kanskje egentlig bare ringt storesøsteren min, men siden hun hadde termin for en uke siden (hun er på overtid) så er det jo en god grunn til å få truffet nye nevøen min også 
ÅååDet gikk bra, så nå har jeg kommet meg hjem og ligger litt i gledestårer på rommet![]()
171 i hjertefrekvens og kunne se at navlestrengen pumpet, altså at morkaken for det meste iallfall har tatt over nåJeg er sååå glad! Men vi tørr fortsatt ikke fortelle det til noen da. Vi vil vente til nærmere uke 12
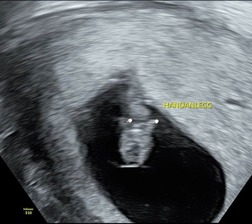
Embryoet ligger med hodet nedover på bildet.
Vis vedlegget 478460
Fantastisk8+4 egentlig, men har blitt målt en dag lengre på begge ultralydene jeg har tatt nå, så er sikkert egentlig 8+5![]()

Såå braDet gikk bra, så nå har jeg kommet meg hjem og ligger litt i gledestårer på rommet![]()
171 i hjertefrekvens og kunne se at navlestrengen pumpet, altså at morkaken for det meste iallfall har tatt over nåJeg er sååå glad! Men vi tørr fortsatt ikke fortelle det til noen da. Vi vil vente til nærmere uke 12
Embryoet ligger med hodet nedover på bildet.
Nå ble jeg glad!Fantastisk! Lille mirakelDet gikk bra, så nå har jeg kommet meg hjem og ligger litt i gledestårer på rommet![]()
171 i hjertefrekvens og kunne se at navlestrengen pumpet, altså at morkaken for det meste iallfall har tatt over nåJeg er sååå glad! Men vi tørr fortsatt ikke fortelle det til noen da. Vi vil vente til nærmere uke 12
Embryoet ligger med hodet nedover på bildet.
Vis vedlegget 478460
Så glad på dine vegne 

Åååh så gøy!!Det gikk bra, så nå har jeg kommet meg hjem og ligger litt i gledestårer på rommet![]()
171 i hjertefrekvens og kunne se at navlestrengen pumpet, altså at morkaken for det meste iallfall har tatt over nåJeg er sååå glad! Men vi tørr fortsatt ikke fortelle det til noen da. Vi vil vente til nærmere uke 12
Embryoet ligger med hodet nedover på bildet.
Vis vedlegget 478460

Ååååå lille bamsemums! Sååå koselig og gøy å se Kine!Det gikk bra, så nå har jeg kommet meg hjem og ligger litt i gledestårer på rommet![]()
171 i hjertefrekvens og kunne se at navlestrengen pumpet, altså at morkaken for det meste iallfall har tatt over nåJeg er sååå glad! Men vi tørr fortsatt ikke fortelle det til noen da. Vi vil vente til nærmere uke 12
Embryoet ligger med hodet nedover på bildet.
Vis vedlegget 478460





Men har jo sett at morkaken har startet produksjonen, så burde jo gå fint 


Slutte med progesteron er skummelt! Men går oftest greit altså. I naturlig syklus har jeg stoppet ca uke 5, og i styrt syklus ca uke 10. Like skummelt både og..Jo, har fått beskjed om å stoppe med progesteron fra søndag av. Bare stoppe helt på dagen. Så blir behagelig å slutte med bind hver dag, men samtidig så er det så skummelt siden man da kutter det ekstra progesteronet og etterligner en syklus der menstruasjonen skal starte![]()
![]()
Men har jo sett at morkaken har startet produksjonen, så burde jo gå fint
![]()
Ka var grunnen til at du brukte progesteron?Jo, har fått beskjed om å stoppe med progesteron fra søndag av. Bare stoppe helt på dagen. Så blir behagelig å slutte med bind hver dag, men samtidig så er det så skummelt siden man da kutter det ekstra progesteronet og etterligner en syklus der menstruasjonen skal starte![]()
![]()
Men har jo sett at morkaken har startet produksjonen, så burde jo gå fint
![]()
Har hatt flere kjemiske og en MA. Skulle tatt noen blodprøver forskjellige steder i syklus denne måneden her, men ble gravid første runde hos han fertilitetslegen jeg gikk til. Han ga meg blodfortynnende pga dårlig blodsirkulasjon og progesteron pga det har en stabiliserende/roende effekt i forhold til myomet eller noe i den duren. Og også i tilfelle det var grunnen til de kjemiske. Vi fikk som sagt ikke tatt de testene vi skulle, så ble mer et føre-var prinsipp.Ka var grunnen til at du brukte progesteron?

OTUL om en uke, så får jeg mye bedre UL 


Er så betryggende og herlig å se den lille på ultralyd
Har ikke fortalt sjefen at jeg er gravid enda, men har fortalt det til min HR ansvarlige som har hjulpet meg å finne frem reglement og sjekket med meg at det er lov å ta med kvalmestillende. Men hjelper ikke når legene sier nei


Trenger iallfall ikke sykemelde meg enda.