Så hygfelig med oppdatering! Jeg tror ikke det på bilde er nuben, i hvert fall ikke hele, så det er nok derfor vi har svart feil! Kjekt med gutt da likevelDet viste seg for å være en gutt her!![]()

Follow along with the video below to see how to install our site as a web app on your home screen.
Notat: this_feature_currently_requires_accessing_site_using_safari
Så hygfelig med oppdatering! Jeg tror ikke det på bilde er nuben, i hvert fall ikke hele, så det er nok derfor vi har svart feil! Kjekt med gutt da likevelDet viste seg for å være en gutt her!![]()

Nei det er det nok ikke, men veldig gøy med gjetting uansett!Så hygfelig med oppdatering! Jeg tror ikke det på bilde er nuben, i hvert fall ikke hele, så det er nok derfor vi har svart feil! Kjekt med gutt da likevel![]()

hvor mange uker og dager? umulig å si ut i fra 3D bildene, men synes jo at dette ser ut som klitoris og kjønnslepper.
Ser ut til at det blir en jente etter OULJeg vil endre svare mitt, at det er en jente, jeg tror det er den hula rett bak nuben som er blæra ikke den litt nedenfor som jeg først tenkte.
Ingen indikasjon på gutt her.Jeg leste feil på posten din (hvis du allerede har lest svaret) gratulerer med jenteSer ut til at det blir en jente etter OL!Ingen indikasjon på gutt

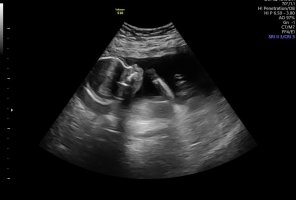
Det beste for å se kjønn nå er et pottyshot, altså et bilde fra rumpa og opp med beina stikkende ut. Hvis jordmor sa gutt så tror jeg dessverre sannsynligheten er ganske stor for at hun har rett. Skjønner du vil ha jente etter så mange gutter, men sannsynligheten øker også litt for å få det samme kjønnet man har om man har flere. Du kan jo ta familien Ingebrigtsen (løpe familien) som et eksempel, de fikk vel 5 gutter før de fikk en jente, så fikk de en gutt til etter den jenta. Så det skjer jo selv om det nok er mer uvanlig.Jeg er uke 18×2dager jeg hva på ultralyd idag jordmor sa det er gutt men jeg er usikker på om det er en gutt eller jenter... her er bilder av baby.. baby hjertet dnker 155
Jeg har 4gutter fra før
Di vil ha en lillesøster
Så trur du den er en lillegutt eller kan men ta en ny ultralyd litt senere etter uke 25Det beste for å se kjønn nå er et pottyshot, altså et bilde fra rumpa og opp med beina stikkende ut. Hvis jordmor sa gutt så tror jeg dessverre sannsynligheten er ganske stor for at hun har rett. Skjønner du vil ha jente etter så mange gutter, men sannsynligheten øker også litt for å få det samme kjønnet man har om man har flere. Du kan jo ta familien Ingebrigtsen (løpe familien) som et eksempel, de fikk vel 5 gutter før de fikk en jente, så fikk de en gutt til etter den jenta. Så det skjer jo selv om det nok er mer uvanlig.
Det viser ikke noe nub på bildene, men jo lenger ut man kommer jo vanskeligere blir det å se kjønn fordi de blir så store at man ikke like lett klarer å se vinkel har jeg hørt, men hvis jordmor sa gutt så er det nok liten sannsynlighet for at det er feil. De sier ikke noe om de er usikre, isåfall sier dem at de er usikre.Så trur du den er en lillegutt eller kan men ta en ny ultralyd litt senere etter uke 25
JenteVis vedlegget 417457Vis vedlegget 417458Uke 13+0. Jente eller gutt?
Tidlig jente
Jente var riktigTidlig jente![]()
Jente var riktig jaJeg gjetter også tidlig jente, nuben kan reise seg enda