Hattifnatt♡
Forumet er livet
Marshmallows 2022
Påskeliljene 2022 ❤️
Stjerneskuddene 2024
Skuddårsspirene 2024
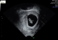
Er vel kun pga sommerferien jeg har ventet så lengeda jeg var innom legen i vinter og sa vi skulle prøve etter mensen i mai, så sa han at han gleda seg på våre vegne, og til jeg skulle på første kontroll rundt uke 8 og se med UL. Meeeeen så kom jo min uke 8 midt i fellesferien
faktisk litt glad for det også, for da får jeg sett mer
![]()
Så hyggelig
da jeg var innom legen i vinter og sa vi skulle prøve etter mensen i mai, så sa han at han gleda seg på våre vegne, og til jeg skulle på første kontroll rundt uke 8 og se med UL. Meeeeen så kom jo min uke 8 midt i fellesferien
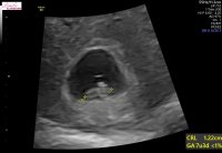
hjertet banket og vi fikk til og med et lite hopp. Målte helt riktig til hvor langt jeg var



