Follow along with the video below to see how to install our site as a web app on your home screen.
Notat: this_feature_currently_requires_accessing_site_using_safari
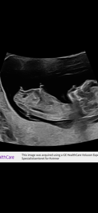
Gløymde å skrive at det var i veke 11+6
Jeg tror jente, ligner veldig på nuben til jenta vårNoen som vil prøve seg på gjetting hvis nub vises? Jeg har hatt sterk magefølelse to tidligere graviditeter. Denne gangen er jeg mer usikker
Det er for tidlig for nubtheory, frem til 12+3 ser alle like ut. Dvs alle ser ut som jenterGløymde å skrive at det var i veke 11+6![]()
Har du noe bilde av det? Hvis du vil deleJeg tror jente, ligner veldig på nuben til jenta vår
Her er det ikke noen kjønnsorgan som er synlig dessverre :/Er det tissen hans/hennes vi ser her? Jentetiss eller guttetiss, tror dere??
Ikke her heller sikkert? Mente kanskje det under beina kanskje kunne være kjønnsorganet, men er sikker noe annet ja..Her er det ikke noen kjønnsorgan som er synlig dessverre :/
Holder en knapp på jente jegIkke her heller sikkert? Mente kanskje det under beina kanskje kunne være kjønnsorganet, men er sikker noe annet ja..

Jeg tipper jente, uten å egentlig ha veldig peilingNoen som vil gjette på disseSynes det er så vanskelig og vite siden begge bildene er så forskjellig, så vet ikke om det ene bildet er nuben som peker sykt opp, eller om det er den lille andre greia under. Chat gtp sa jente på begge, men vet jo at den ikke er til å stole på, så jeg tror kanskje noe annet
Vis vedlegget 459846
Spennende, får fasiten 14.mai forhåpentligvis på oulJeg tipper jente, uten å egentlig ha veldig peiling![]()
Den der er vanskeligEr det tissen hans/hennes vi ser her? Jentetiss eller guttetiss, tror dere??
Ikke noe som peker åpenbart opp hvertfall, uten at jeg har peiling. Så vi sier jente, hehe Det er det jeg tror selv ogsåDen der er vanskelig
Ikke noe som peker åpenbart opp hvertfall, uten at jeg har peiling. Så vi sier jente, hehe
![]()
JenteIkke her heller sikkert? Mente kanskje det under beina kanskje kunne være kjønnsorganet, men er sikker noe annet ja..

GuttNoen som vil gjette på disseSynes det er så vanskelig og vite siden begge bildene er så forskjellig, så vet ikke om det ene bildet er nuben som peker sykt opp, eller om det er den lille andre greia under. Chat gtp sa jente på begge, men vet jo at den ikke er til å stole på, så jeg tror kanskje noe annet
Vis vedlegget 459846
Det kommer en liten jente til oss, så du hadde rett her! Det blir skikkelig stas etter 3 gutter!Ja, lov og si at det kanskje blir litt ekstra stas med jente da. Jeg synes den peker rett frem, så holder en knapp på jente. Du må oppdatere meg. Jeg har en gutt fra før, og håper jo litt på motsatt kjønn. Men legen trodde det var gutt hos oss igjen. Og det blir også veldig koselig med brødre![]()